We are Not A MassHealth Provider
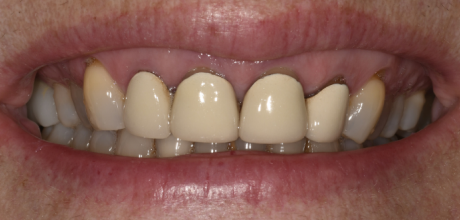
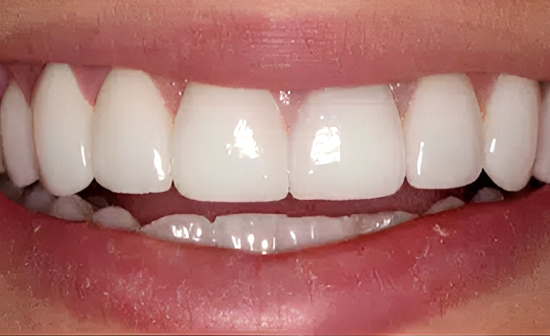
Helping you achieve the smile you want and deserve.
Call Us: (508) 829-4575
Welcome to Khanani Family Dental!
At Khanani Family Dental, our work goes beyond what happens in the chair. We create long-lasting friendships with our patients because we care about more than just your smile. Our Holden-based dental team takes a personable approach to dental care and we feel honored to help you achieve and maintain a healthy smile. If you’re looking for a friendly dentist in Holden or Worcester, Dr. Khanani and his wonderful team would love to meet you!
Our top priority is to ensure the health, safety, and comfort of each patient and team member who walks through our doors.
Best Dentist Winner
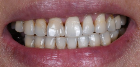
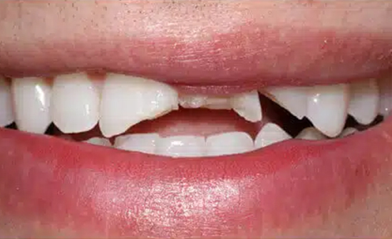
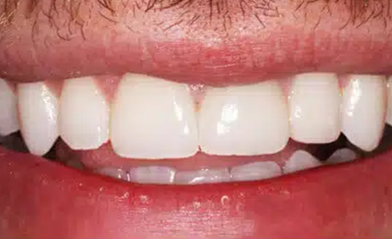
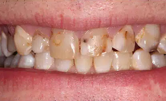
We Have The Treatment For You
Dedicated to Your Smile
Meet Dr. Khanani
Step Inside Khanani Family Dental
Treat Now, Pay Later With

No Paperwork
Superfast & Easy Approval
No Hard Credit Check
Stress-free To Apply
3, 6, 12, 18 Or 24 Monthly Payments
Cutting-Edge Technology
Say Hello To Modern Dentistry
We invest in the latest dental technology to enhance patient experience and ensure your visits are as efficient and precise as possible. At Khanani Family Dental, our Holden dentists use CBCT (3D X-ray), 3D printers, intraoral cameras, digital radiographs, and intraoral scanners to keep you happy, healthy, and comfortable.
Cutting Edge Tech
Patient Info



